

A Pancreatite Aguda não é apenas uma inflamação local; é uma doença sistêmica complexa. Para um manejo de excelência, precisamos dominar os escores prognósticos, a fisiopatologia das complicações locais e as nuances do tratamento intensivo.
Fisiopatologia
A chave do processo é a ativação intrapancreática de enzimas. Em condições normais, o pâncreas secreta pró-enzimas inativas. Na pancreatite, ocorre a conversão precoce de Tripsinogênio em Tripsina dentro das células acinares.

- Consequência Local: Autodigestão da glândula.
- Consequência Sistêmica: A tripsina ativa outras cascatas inflamatórias, levando à SIRS (Síndrome da Resposta Inflamatória Sistêmica), que pode evoluir para falência de múltiplos órgãos.
Etiologias: Além do Básico
Embora Biliar e Alcoólica sejam as mais comuns, você deve investigar causas secundárias em casos não óbvios.
- Mecânica: Cálculos biliares (40-70%), Microlitíase e Ascaridíase (o parasita obstrui a papila).
- Tóxica: Álcool, Veneno de Escorpião e Organofosforados.
- Metabólica:
- Hipertrigliceridemia (> 1.000 mg/dL). Nota: Heparina e Insulina podem mascarar o quadro ao reduzir os triglicérides agudamente.
- Hipercalcemia (ex: Hiperparatireoidismo).
- Medicamentosa: Azatioprina, Tiazídicos, Furosemida, Corticoides, Sulfonamidas e Tetraciclinas.
- Infecciosa:
- Viral: CMV, HIV, Caxumba, Coxsackie.
- Outros: Salmonella, Legionella, Aspergillus, Toxoplasmose.
- Vascular: Vasculites (Lúpus, PAN), Choque hipovolêmico e Ateroembolismo.

Prognóstico e Escores de Gravidade
A avaliação prognóstica define quem vai para a UTI.
Classificação de Atlanta Modificada (Definições Precisas)
- Leve: Sem falência orgânica, sem complicações locais.
- Moderadamente Grave: Falência orgânica transitória (< 48h) OU complicações locais/sistêmicas.
- Grave: Falência orgânica persistente (> 48h).
Escore de Marshall (Falência Orgânica)
Avalia três sistemas principais. Pontuação 2 define falência:
- Respiratório: PaO2/FiO2 ( 300 já pontua).
- Renal: Creatinina (> 1,9 mg/dL já pontua).
- Cardiovascular: Pressão Arterial Sistólica (< 90 mmHg não responsiva a fluidos).
Critérios de Ranson (Mortalidade)
Avaliado na admissão e reavaliado com 48h. 3 pontos indica pancreatite grave.
- Admissão (Não alcoólica): Idade > 55, Leucócitos > 16k, Glicemia > 200, LDH > 350, TGO > 250.
48 Horas: Queda do Hematócrito > 10%, Ureia (aumento > 5), Cálcio < 8, PO2 < 60, Base Excess > 4 (déficit), Sequestro de fluidos > 6L.
Classificação Tomográfica de Balthazar
Gradua a inflamação e necrose:
- A: Pâncreas normal.
- B: Aumento focal ou difuso.
- C: Inflamação peripancreática (densificação da gordura).
- D: Uma coleção líquida.
- E: Duas ou mais coleções ou presença de gás.
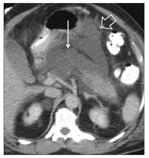
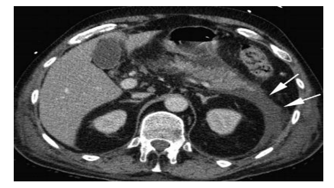
Complicações Locais: A Linha do Tempo
A nomenclatura correta depende do tempo e do conteúdo (líquido ou sólido/necrose).
| Tempo | Conteúdo Líquido (Homogêneo) | Conteúdo Sólido (Necrose/Heterogêneo) |
| < 4 Semanas | Coleção Peripancreática Aguda | Coleção Necrótica Aguda |
| > 4 Semanas | Pseudocisto (tem cápsula) | Walled-off Necrosis (WON) (Necrose encapsulada) |


Terapêutica Avançada
Hidratação “Goal-Directed”
- Fluido: Cristaloides, preferencialmente Ringer Lactato (tem efeito anti-inflamatório teórico superior ao SF 0,9%).
- Exceção: Não usar Ringer se a causa for Hipercalcemia (contém cálcio).
- Volume: Agressivo nas primeiras 12-24h (250-500ml/h), guiado por débito urinário (> 0,5ml/kg/h) e PAM.
Manejo Nutricional
- Dieta: A reintrodução precoce (assim que sem dor/vômitos) previne atrofia de mucosa e translocação bacteriana.
- Via: Oral preferível. Se não tolerar, Sonda Nasoenteral (SNE) é superior à Nutrição Parenteral (NPT), pois mantém a barreira intestinal íntegra.
Tratamento da Necrose Infectada
A suspeita ocorre por piora clínica (“segunda onda”) após 7-10 dias ou gás na TC.
- Antibiótico: Carbapenêmicos ou Quinolonas (penetram no tecido pancreático).
- Step-up Approach: Começar com o menos invasivo.
- Drenagem Percutânea ou Endoscópica.
- Se falhar: Necrosectomia minimamente invasiva (VARD ou endoscópica).
- Último caso: Necrosectomia aberta (alta morbidade).
Tratamento Específico da Hipertrigliceridemia
Se TG muito elevado, usar: Insulina venosa (ativa a lipoproteína lipase), Heparina ou Plasmaférese.
O método que te aprova!
Quer alcançar a aprovação nas provas de residência médica? Então seja um MedCofer! Aqui te ajudaremos na busca da aprovação com conteúdos de qualidade e uma metodologia que já aprovou mais de 35 mil residentes no país! Por fim, acesse o nosso canal do youtube para ver o nosso material.
